Facebook
Instagram
Linkedin
RSS
Twitter
Youtube
Home
Entertainment
Books
Movies
Music
Politics
Social Opinions
Campus
Relationships
ED Originals
Back In Time
Demystifiers
DEvil
Fake Friendly Fridays
FlippED
Friendly Fridays
Listicles
LivED it
Others
Picture Story
Poster Series
QuoraED
RedditED
Reviews
SexED
Unique Opinions
Unusual Comparisons
VoxPop
More
Lifestyle
Technology
Science
Food
Automobiles
Finance
Fashion
Sports
Travel
Search
Monday, April 20, 2026
Sign in
Welcome! Log into your account
your username
your password
Forgot your password? Get help
Privacy Policy
Password recovery
Recover your password
your email
A password will be e-mailed to you.
ED Times | Youth Media Channel
Home
Entertainment
All
Books
Movies
Music
ED Originals
Heart-Touching And Moving Cartoons Remembering Asha Bhosle
Entertainment
Why Do Some Men Get Angry When A Women’s Rights Movie…
Entertainment
Bollywood Profits From Trans Culture But Remains Silent On Regressive Bill
Entertainment
Move Over Modi’s Cameo In Dhurandhar 2, This Other Appearance Goes…
Politics
Politics
Explainer: What Does The US Naval Blockade Mean; Who Has The…
Politics
Why Justice Varma’s Resigning Is Not A Good Sign For The…
Politics
Why Are People Flaunting Their Pakistani Passports On The Internet?
Politics
Top Reasons Why India Is Watching The US-Israel-Iran War As A…
Politics
It Took One Man, Hitler, To Make The World Suffer; Guess…
Social Opinions
Social Opinions
Guess The One Positive Side Effect Of The US-Israel And Iran…
Social Opinions
Why Does Any Issue Rile Us Up For Only Two Days…
Social Opinions
The Iran War Is Inside Every Indian Kitchen Right Now
Social Opinions
Dubai Is Abandoning Dogs And Cats On Streets, In Boxes, To…
Social Opinions
Co-Founder Claims Wikipedia Is Anti-India; Here’s Why It Might Be True
Campus
Campus
Why Is Miranda House And ANI Editor In The Middle Of…
Campus
Why Are Indians Spending Crores On College Degrees When 67% Graduates…
Campus
NIT Trichy’s Pragyan Celebrates Its 22nd Edition With ‘Anachronia’ As Central…
Campus
UK Kids Can’t Turn Pages Of Books, Swipe It Like Phones:…
Campus
SIOM Nashik’s Drishti 2K26 Balanced Creative Celebration With Academic And Managerial…
Relationships
Relationships
What Makes Bengaluru The Most Infidel City In India?
ED Originals
Breakfast Babble: Why Friendship Breakups Hurt More Than We Admit
Relationships
Extramarital Affairs Only App Has Maximum Users From India, Bengaluru Leading
Relationships
Why Is January Considered To Be The Divorce And Breakup Month?
Relationships
Why Are Gen Z’s Closest Friends On Snapchat And Reddit?
ED Originals
All
Back In Time
Demystifiers
DEvil
Fake Friendly Fridays
FlippED
Friendly Fridays
Listicles
LivED it
Others
Picture Story
Poster Series
QuoraED
RedditED
Reviews
SexED
Unique Opinions
Unusual Comparisons
VoxPop
Reviews
How to Choose the Right Stream After Class 10?
ED Originals
Breakfast Babble: Why Does Starting Afresh Feel So Threatening?
ED Originals
Heart-Touching And Moving Cartoons Remembering Asha Bhosle
ED Originals
Breakfast Babble: Why Friendship Breakups Hurt More Than We Admit
More
Lifestyle
Technology
Science
Food
Automobiles
Finance
Fashion
Sports
Travel
Home
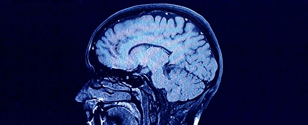
How Anorexia Could Change The Structure Of Your Brain
WhatsApp Image 2022-06-22 at 7.12.27 PM (4)
WhatsApp Image 2022-06-22 at 7.12.27 PM (4)
MORE STORIES
How to Choose the Right Stream After Class 10?
Reviews
April 20, 2026
Breakfast Babble: Why Does Starting Afresh Feel So Threatening?
ED Originals
April 19, 2026
What Makes Bengaluru The Most Infidel City In India?
Relationships
April 18, 2026